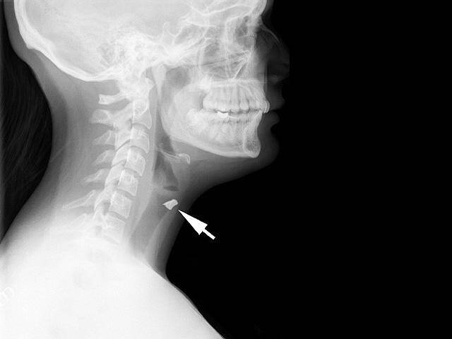
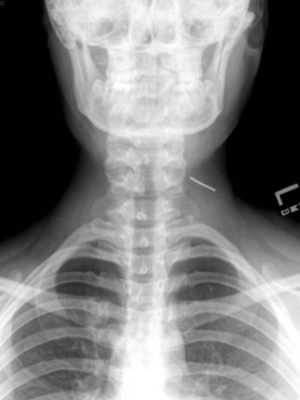
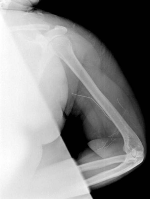
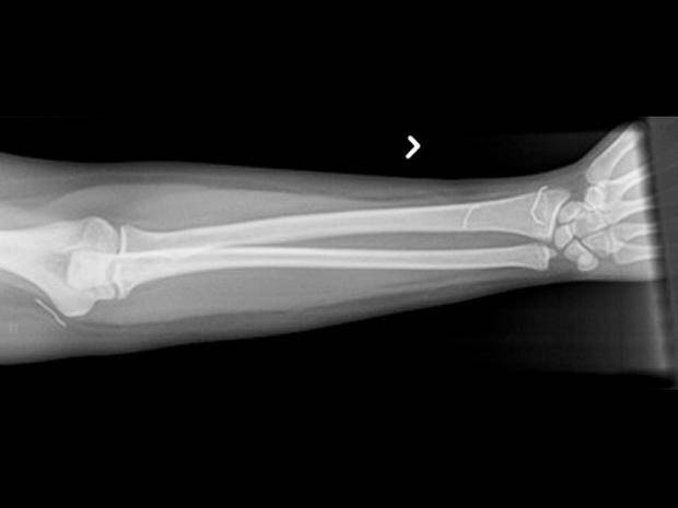
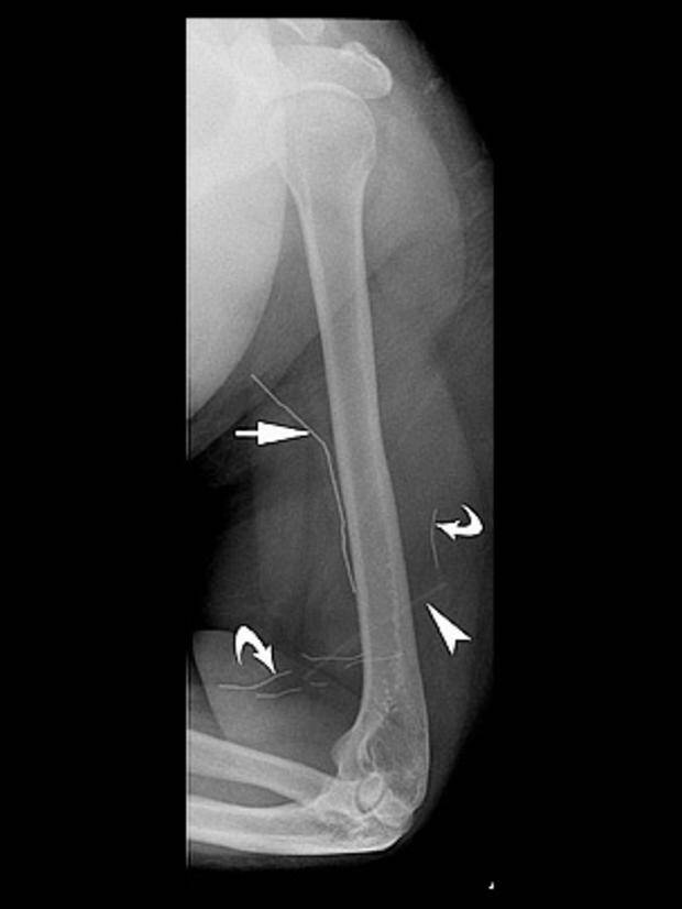
Niektórym osobom, zwłaszcza w wieku nastoletnim, trudno jest się powstrzymać od umieszczania rzeczy pod swoją skórą. Lekarze twierdzą, że rośnie liczba nastolatków – zwłaszcza z depresją lub lękami – które wbijają igły, zszywki, spinacze oraz inne przedmioty pod skórę swojego ciała. Tę dość bezkrwawą praktykę lekarze nazywają czasem “zachowaniem samo-osadzającym” lub “zagnieżdżającym”.
Dlaczego tak się dzieje?
– Okres dojrzewania może być niezwykle stresujący – powiedział dla CBS News dr William E. Shiels, szef radiologii w Nationwide Children’s Hospital w Colombus (Ohio). Jest on autorem nowego badania na temat zachowań zagnieżdżania w sobie przedmiotów, które zostało opublikowane w czasopiśmie Pediatrics. – Dzieci mówią nam, że ból fizyczny jest łatwiejszy do zniesienia niż ból emocjonalny. Umieszczenie w sobie jakiś obiektów odwraca ich uwagę od bólu psychicznego.
Shiels jest pionierem w stosowaniu technik chirurgicznych do usuwania osadzonych w ciele przedmiotów. We wspomnianym wywiadzie przyznał, że jest zdumiony, że aż co czwarty nastolatek w Stanach Zjednoczonych popełnia jakąś formę samookaleczenia. Nie chodzi tu tylko o umieszczenie czegoś pod skórą, ale również o skaleczenia, poparzenia czy inne formy samoranienia. Ta jedna-czwarta nastolatków odnosi się do całej populacji młodzieży w USA – a nie tylko do tych, który byli fizyczne czy psychicznie katowani, wykorzystywani seksualnie czy u których zdiagnozowano afektywną chorobę dwubiegunową, zaburzenia lękowe, zaburzenia osobowości czy inne trudności na bazie psychiki.
Samookaleczenia są niebezpieczne – oprócz ryzyka wywołania infekcji, umieszczanie w ciele przedmiotów może uszkodzić nerwy lub naczynia krwionośne. – W skrajnych przypadkach oprócz krwawienia (w tym wewnętrznego) może wystąpić nawet udar – powiedział Shiels.
Osoby samookaleczające się nie myślą o niebezpieczeństwach
– Jeśli dasz niektórym z tych dzieciaków magazyn do poczytania, to odzyskasz go z brakującymi zszywkami – mówi Shils. – Daj im ołówek, a wyciągną grafit i wsadzą do pod skórę.
Osoby, które dokonują takich czynów zazwyczaj dobrze reagują na psychoterapię lub/i terapię lękową. Jednakże najpierw trzeba zauważyć i obserwować to zachowanie. Shiels twierdzi, że rodzice oraz nauczyciele powinni rozważyć, czy to zachowanie nie występuje u nastolatków, którzy mają niewyjaśnione bóle lub infekcje skóry, a także u tych, którzy próbują ukrywać ręce, nogi czy nadgarstki – zwłaszcza kiedy podczas upałów zakładają długie spodnie czy bluzy z długimi rękawami.
Ból fizyczny jest łatwiejszy do zniesienia niż ból emocjonalny
Nie ignorujmy takich zdarzeń. Często oprócz próby zagłuszenia bólu emocjonalnego – jest to próba zwrócenia uwagi, że dziecko czy nastolatek mierzą się z czymś, co w dalej chwili może ich przerastać. Brak naszej reakcji może doprowadzić nie tylko do tragedii w zdrowiu fizycznym czy psychicznym, ale do prób samobójczych.









Źródło: CBS News, Pediatrics



